Agronomía Tropical  > Colección  >  Sumario Volumen 35  >  Articulo


Agronomía Tropical. 35(1-3): 125-138.1985

INFECCION NATURAL DE LA PAPA EN VENEZUELA CON EL MOSAICO AMARILLO DEL TOMATE, UN GEMINIVIRUS TRANSMITIDO POR MOSCAS BLANCAS

Eduardo A. Debrot* y Fernando Centeno*

* FONAIAP, Centro Nacional de Investigaciones Agropecuarias Apdo., 
4663, Maracay 2101, Venezuela

RECIBIDO: junio 28, 1985.


INTRODUCCION

A través de los años se ha observado en siembras de papa (Solanum tuberosum L.) localizadas en los Valles de Aragua, la presencia de sintamos típicamente vírales, consistentes en un mosaico amarillo brillante o dorado, deformación del follaje y enanismo de las plantas afectadas. La difusión del fenómeno siempre ha si do baja, encontrándose usualmente solo algunas pocas plantas aisladas hacia los bordes de las siembras, mostrando los síntomas de la enfermedad.

Aun cuando el número de plantas enfermas dentro de las siembras es bastante reducido, la persistencia de la enfermedad, año tras año, hizo que se iniciara un estudio para tratar de determinar su causa, forma de diseminación y hospederos naturales, a la vez que cuantificar su difusión y la magnitud de las pérdidas que pudiera estar ocasionando.

Por otra parte, interesaba estudiar las virosis que atacan a este cultivo en los valles de Aragua, por ser ésta una importante región productora del tubérculo en Venezuela y por estar enclavada en la zona tropical cálida, a una altura promedio de 450 msnm. Tanto a nivel local como mundial, existe poca información acerca de virosis de la papa en los trópicos cálidos, en donde su cultivo aún no ha alcanzado gran difusión. En cambio, la literatura disponible al respecto para regiones de clima templado es muy abundante, por ser un cultivo propio de ese clima y porque la mayor parte de la producción mundial se realizo bajo esas condiciones climáticas.

En Venezuela, buena parte de la producción del tubérculo se lleva a cabo bajo estas últimas condiciones en la zona andina, disponiéndose actualmente de alguna información sobre la virosis que atacan al cultivo en dicha zona. Partiendo de la presunción de que esas virosis pudieran ser diferentes de las que ocurren en los valles de Aragua, debido a las marcadas diferencias entre ambos agroecosistemas, el presente trabajo intenta contribuir a un mejor conocimiento de estas enfermedades en condiciones tropicales cálidas Algunos aspectos del mismo fueron presentados con anterioridad en forma de resumen (2).

MATERIALES Y METODOS

Muestras de follaje de papa, exhibiendo los sintamos típicos de la enfermedad, a la cual se le denominará en lo sucesivo como mosaico amarillo de la papa (MAP), se colectaron en diferentes siembras ubicadas en los valles de Aragua para ser utilizadas como inóculo en las pruebas de transmisión mecánica. Otra fuente de inóculo correspondió a hojas sintomáticas de plantas de papa procedentes de tubérculos sembrados en el invernadero, los cuales fueron cosechados en las siembras antes mencionadas de plantas afectadas por el MAP; también se usó como inóculo follaje de plantas de tomate (Lycopersicon esculentum Mill) y del, pimpinellifolium Just.) Mill y de un tomatico silvestre L. esculentum var. cerasiforme (Dunal) A. Gray, que en el campo mostraban la sintomatología del virus mosaico amarillo del tomate (VMAT) similar a la que induce en papa el MAP.

Para las pruebas de transmisión mecánica se maceró el inóculo en morteros fríos en presencia de buffer 0,1 m K2HPO4 + 1% trisilicato de magnesia pH 8,8 + 0,01% dietil dithiocarbamato de sodio, en proporción aproximada de 1:4 (p/v) de tejido enfermo para buffer. Después de extraído el jugo, se frotó de inmediato sobre hojas de las plantas sanas a inocular, las cuales fueron previamente espolvoreadas con el abrasivo Carborundum 600, inmediatamente después se lavaron con agua del chorro y se colocaron durante 24 horas bajo cámara húmeda en el invernadero, en donde se mantuvieron bajo observación.

Las plantas sanas empleadas en estas pruebas tenían 1­2 semanas de edad en el momento de la inoculación, excepto algunas plantas de papa que tenían aproximadamente un mes cuando se inocularon en las hojas más jóvenes. Todas las plantas sanas de papa utilizadas en los diversos experimentos de transmisión fueron cultivadas a partir de tubérculos presumiblemente Ubres de virus, incluso el virus X de la papa (VXP).

Tubérculos cosechados de plantas que en el campo mostraban los síntomas del MAP se usaron para determinar si la enfermedad se transmitía por esa vía. Después de grelados, se sembraron en el invernadero para observar si aparecían los síntomas de la enfermedad en el follaje.

Moscas blancas de la especie Bemisia tabaci Genn, procedentes de una cría sana mantenida sobre Blumea viscosa (Mill) Badillo ( = Conyza Iyrata), fueron usadas para pruebas de transmisión. Los períodos de acceso y de inoculación tuvieron 24 horas de duración. Las moscas blancas fueron confinadas en microjaulas plásticas las cuales fueron asidas a las hojas de las plantas fuentes del virus luego del período de adquisición, se transfirieron a otras microjaulas que a su vez se prendieron en el follaje de las plantas sanas En este último caso se emplearon 410 moscas por planta, distribuídas en una o dos microjaulas.

Las plantas utilizadas en las diversas pruebas de transmisión fueron cultivadas en suelo esterilizado dentro de invernaderos libres de insectos, con temperatura ambiental entre 19° y 43°C. En esos mismos invernaderos fueron mantenidas después de las diferentes pruebas, a fin de observar el desarrollo de los sintamos por un período de al menos tres semanas.

Las pruebas de transmisión por injerto se efectuaron mediante el método de cuña, introduciendo un retoño de la planta enferma dentro de una hendidura realizada en una rama de la planta sane. Una vez amarrados los injertos con una tira plástica, las plantas injertadas fueron colocadas bajo cámara húmeda por cuatro días y luego pasadas al invernadero.

Para hacer cortes ultrafinos del tejido enfermo, se cortaron pedacitos de tejido foliar de una planta de papa 'Sebago', la cual había sido inoculada mecánicamente con el agente de la enfermedad unas tres semanas antes y cuyo follaje mostraba la sintomatología característica del fenómeno. Pedacitos de hojas de una planta sana de la misma variedad fueron usadas como testigo. El tejido fue fijado con glutaraldehido al 2% en buffer cacodilato 0,1 M pH 7 y postfijado con tetróxido de osmio al 2%. Luego se deshidrató en una serie de alcohol etílico; el exceso de agua y el alcohol fueron removidos con óxido de propileno, previo a su inclusión en la resina EPON 812. Los bloques de resina, una vez curados en estufa a 60°C durante 2 4 horas , se cortaron con un ultramicrotomo Porter­Blum MT­2 equipado con cuchilla de diamante. Los cortes ultrafinos obtenidos fueron teñidos con acetato de uranilo y citrato de plomo y luego observados en un microscopio electrónico JEOL 100B.

Para evaluar la magnitud de las pérdidas provocadas por el MAP, se cosecharon en el campo los tubérculos producidos por 12 plantas de papa 'Sebago' que mostraban los síntomas típicos del fenómeno, para compararlos con los cosechados de igual número de plantas de la misma variedad pero sin síntomas, las cuales fueron escogidas al azar en la misma siembra y en la misma ocasión. Esta determinación se efectuó en dos oportunidades, una en el Asentamiento la Julia, Turmero, y la otra en el Asentamiento Casablanca, vía Cagua­Villa de Cura, ambos localizados en los valles de Aragua. Para coda tratamiento se determinó el número de tubérculos y su peso.

Con parte de los tubérculos de la prueba anterior, se montó un experimento con la finalidad de cuantificar las pérdidas. A tal efecto, se sembraron 10 tubérculos provenientes de plantas enfermas con el MAP en una hilera, e igual número de tubérculos de semilla certificada de esa variedad en otra hilera contigua. Durante el ciclo se aplicaron las prácticas culturales habituales en el cultivo de la papa. Cada hilera se cosechó separadamente, contándose y pesándose los tubérculos. Esta prueba se realizó en la Escuela Práctica de Agricultura, Samán de Güere, estado Aragua.

RESULTADOS

Sintomatologia y ocurrencia de la enfermedad en el campo.

A pesar de que la enfermedad en estudio se ha observado por muchos años en siembras de papa ubicadas en los valles de Aragua, Región Centro­Norte de Venezuela, hasta ahora se le había prestado poca atención, debido a su aparente baja difusión. Uno de los aspectos que justamente se abordó en el presente estudio fue cuantificar la dispersión del fenómeno, para ello se realizaron visitas a diferentes siembras de papa localizadas en esa zona durante un período de dos años, para observar su ocurrencia y sintomatologia y a la vez determinar la frecuencia de su aparición.

En el decurso de esas visitas se constató que las plantas se mostraban enfermas, alrededor de un mes después de germinadas, exhibiendo un mosaico amarillo o dorado y deformación del follaje (Figs. 1 y 2). También mostraban diversos grados de enanismo, cuya magnitud pudiera atribuirse a la época de infección las plantas enfermas usualmente se encontraban distribuidas hacia los bordes de las siembras, lo que sugería que la infección provenía de fuentes externas. Todas las siembras visitadas se establecieron a partir de semilla certificada importada del Canadá. Los síntomas de la enfermedad se observaron en ]as variedades 'Kennenbec' y 'Sebago', que son las que se siembran más comúnmente en esta región. Las visitas a las siembras se efectuaron durante los meses noviembre a febrero, que es la época de siembra de la papa en esta zona del país y coincide con el período más frío del año y con la estación seca.

Los síntomas descritos del MAP fueron también observados en una siembra ubicada en Camatagua, Edo. Aragua, localidad cercana a los valles de Aragua y con condiciones ambientales bastante semejantes. Asimismo, en una visita a los Andes se apreció algunas plantas con los síntomas de la enfermedad en Mocao, zona cercana a Mucuchíes, Edo. Mérida. La semilla utilizada en esa siembra era del tipo "semilla" y coincidencialmente procedía del Valle de Tucutunemo, parte de los valles de Aragua.

Durante el transcurso de las visitas a siembras de papa en los valles de Aragua, también se observó numerosos sembradíos de tomate altamente infectados con el VMAT (1, 2 y 3), una virosis endémica en la zona, ocasionada por un geminivirus transmitido por moscas blancas; esta virosis usualmente alcanza una difusión muy alto en las siembras de esta hortaliza en la referida zona. Como se cultivan comúnmente ambas especies en la misma finca y durante la misma época del año, fue posible apreciar la constrastante diferencia entre la baja frecuencia de aparición de esa sintomatologia en papa y la elevada frecuencia con que se manifestaba en tomate.

La misma sintomatología también se notó muy frecuentemente, durante dichas visitas, en plantas de L. eculentum var. Cerasiforme, un tomatico silvestre conocido vulgarmente como "cagón" o "balita" (Fig. 3), el cual es de ocurrencia bastante común en la zona y es considerado maleza. Igual fenómeno se apreció en pequeñas parcelas experimentales de L pimpinellifolium y en plantas espontáneas de esta especie, escapadas de dichas siembras y que crecían a su alrededor,.

Para cuantificar la difusión de la presunta virosis de la papa, se efectuaron contajes de plantas que mostraban los síntomas de la enfermedad en 10 siembras distribuidas en diversas áreas de los valles de Aragua. Los contajes se realizaron durante los meses de enero y febrero en dos ciclos de siembra: 1979­80 y 1980­81. Los resultados, expresados en el Cuadro 1, indican que la difusión de esta enfermedad era muy baja; de un total de 23 497 plantas examinadas solo 107 exhibían la sintomatología típica, lo que corresponde apenas a un 0,46% de infección, ade más, en dos de las siembras evaluadas no se detectaron plantas con síntomas, lo cual reafirma la baja difusión del fenómeno.

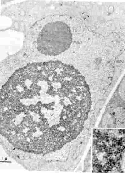
Se observa una célula joven del floema conteniendo una gran masa constituida por numerosas panicuias parecidas a virus, la cual ocupa buena parte del núcleo. En el recuadro un detalle ampliado de la masa, en donde se observar las partículas parecidas a virus. EN: envoltorio nuclear, NO: nucléolo y V: masa de partículas parecidas a virus. La barra en el recuadro corresponde a 50 nm.

 

Fig. 1. Planta de papa 'Sebago' infectada en el campo con el VMAT, mostrando mosaico amarillo V deformación del follaje,
Fig. 1. Planta de papa 'Sebago' infectada en el campo con el VMAT, mostrando mosaico amarillo V deformación del follaje,

 

Fig. 2. Follaje de papa 'Sebago' sembrada en el invernadero a partir del tubérculo infectado con el VMAT, exhibiendo los sintamos de mosaico amarillo o dorado V deformación típicos de la virosis.
Fig. 2. Follaje de papa 'Sebago' sembrada en el invernadero a partir del tubérculo infectado con el VMAT, exhibiendo los sintamos de mosaico amarillo o dorado V deformación típicos de la virosis.
 
 
Fig, 3, Planta silvestre de Lycopersicon esculentum var. Cerasiforme exhibiendo síntomas de mosaico amarillo y deformación provocados por el VMTA ·
Fig, 3, Planta silvestre de Lycopersicon esculentum var. Cerasiforme exhibiendo síntomas de mosaico amarillo y deformación provocados por el VMTA ·
 
 
Fig. 4. Tomate 'Marglobe' injertado con material de papa infectado con el VMAT, mostrando la sintomatologia típica de ese virus.
Fig. 4. Tomate 'Marglobe' injertado con material de papa infectado con el VMAT, mostrando la sintomatologia típica de ese virus.
 

 

Fig. 5. Micrografía electrónica de un corte ultrafino de tejido de papa 'Sebago' infectado con el VMAT. más, en dos de las siembras evaluadas no se detectaron plantas con síntomas, lo cual reafirma la baja difusión del fenómeno.
Fig. 5. Micrografía electrónica de un corte ultrafino de tejido de papa 'Sebago' infectado con el VMAT. más, en dos de las siembras evaluadas no se detectaron plantas con síntomas, lo cual reafirma la baja difusión del fenómeno.
 
 

 

CUADRO 1. Resultados de contajes de plantas de papa con síntomas de mosaico amarillo presentes en 10 siembras ubicadas en los valles de Aragua (enero­febrero 1980­1981).

Ubicación siembra

Variedad

No. plantasenfermas

No. total plantas

Infección(%)


Parcela 2, Asentamiento Mucura II vía Villa de Cura, Edo. Aragua

'Sebago'

24

4 099

0,59

Asentamiento Mucura II, vía Villa de Cura, Edo. Aragua

'Sebago'

31

2 542

1,22

Asentamiento Mucura II, vía Villa de Cura, Edo.Aragua

'Sebago'

5

2 179

0,23

Sector los Aguacates, Turmero, Edo. Aragua

'Sebago'

7

1 415

0,49

EL Corozo, Casupito, vía Villa de Cura, Edo.Aragua

'Sebago'

1

2 646

0,42

Asentamiento la Julia, Turmero, Edo. Aragua

'Sebago'

21

1 958

1,07

La Cabrera, Mariara, Edo. Carabobo

'Red Pontiac'

0

2 700

0,00

Sector El Depósito, Mariara, Edo. Carabobo

'Sebago'

0

1 850

0,00

Sector El Depósito, Mariara, Edo. Carabobo

'Sebago'

6

2 010

0,30

Sector El Depósito, Mariara, Edo. Carabobo

'Sebago'

2

2 098

0,10


T O T A L E S

107

23 497

0,46


Pruebas de transmisión a través del tubérculo.

La virosis se transmitió a 38 de las 45 plantas que germinaron, procedentes de igual número de tubérculos cosechados de plantas sintomáticas de papa 'Sebago', en siembras localizadas en los valles de Aragua. En la mayoría de los casos los síntomas del MAP se pudieron apreciar en las primeras hojas que abrían después de la germinación, en tanto que en los restantes éstos no fueron muy evidentes sine hasta un mes después de la misma.

Pruebas de transmisión por injertos.

Retoños de muestras de papa 'Kennenbec' y 'Sebago', colectadas en el campo con los síntomas típicos del MAP, fueron injertados sobre plantas sanas de papa de estas mismas variedades, así como de tomate 'Marglobe'. Al cabo de 2­3 semanas, las hojas nuevas de las planta injertadas manifestaron el inicio de la sintomatología del fenómeno bajo estudio. Al desarrollarse los síntomas resultaron ser similares a los inducidos en tomate por VMAT (Fig. 4).

Pruebas de transmisión mediante moscas blancas.

A partir de las plantas de tomate 'Marglobe', a las cuales se les había transmitido la enfermedad mediante injerto, se transmitió el MAP a plantas sanas de tomate 'VF­198' por intermedio de moscas blancas de la especie B. tabaci. A partir de 8­10 días después de la transmisión, las plantas mostraron la sintomatología característica de la enfermedad. Mediante la transmisión del agente de la enfermedad, por parte de los Aleyrodidos, se logró eliminar el VXP que estaba contaminando a las muestras originates de papa colectadas en el campo, y el cual se había propagado a través del injerto a las plantas de tomate 'Marglobe'.

Una vez libre el VXP, uno de los aislamientos del MAP obtenido de papa 'Sebago' fue empleado en las pruebas subsiguientes de transmisión por moscas blancas. El otro aislamiento usado en esas pruebas procedía de l. esculentum var. Cerasiforme, la cual exhibía la sintomatología característica del VMAT.

Los resultados de todas las pruebas de transmisión llevadas a cabo con B. tabaci, señalados en el Cuadro 2, revelan que este insecto es vector de la enfermedad bajo estudio y que el porcentaje de transmisión fue más elevado cuando la enfermedad se transmitió de tomate a tomate o de l. esculentum var. Cerasiforme a tomate. En cambio, fue sensiblemente inferior cuando se empleó papa como fuente o como planta sana expuesta a la infección. Cabe destacar que la papa mostró ser un excelente huésped para la cría de este insecto, ya que durante los períodos de acceso y de inoculación éstos efectuaron numerosas posturas que luego eclosionaron; sin embargo, esta situación no se observó en tomate ni en l. esculentum var. Cerasiforme.

 

 

CUADRO 2. Resultados de pruebas para transmitir el mosaico amarillo de la papa mediante la mosca blanca B. tabaci de plantas infectadas de papa, tomate y l. esculenum var. Cerasiforme a plantas sanas de las primeras dos especies.

Planta fuerte

Planta expuesta a
la infección

Transmisiones
Nº              %


Papa 'Sebago'

Tomate 'VF­198'

10/1*

10

Tomate'VF­198'

Papa 'Sebago'

30/2

6,6

Tomate'VF­198'

Tomate'VF­198'

10/4

40

Tomate 'VF­198'

5/3

60


* El numerador expresa el número total de plantas usadas en el experimento, mientras que el denominador corresponde al número que resultaron infectadas.

 

Pruebas de transmisión mecánica.

Los mismos aislamientos obtenidos de papa 'Sebago' y L. esculentum var. Cerasiforme mediante transmisión con B. tabaci fueron empleados para inocular mecánicamente diversas especies de plantas, la mayoría de las cuales eran huéspedes conocidos del VMAT. También se usaron aislamientos del VMAT obtenidos de tomate 'VF­198' y de L. pimpinellifolium infectados en el campo. Los síntomas que mostraron las plantas inoculadas, descritos a continuación, comenzaron a aparecer 7­10 días después de la inoculación y fueron similares para los cuatro aislamientos usados:

L. esculentum var. Cerasiforme, L pimpinellifolium, pupa 'Kennenbec' y 'Sebago', Petunia hybrida y tomate 'Marglobe', 'RomaVF', 'Rutgers' y' VF-198' mostraron mosaico dorado intenso y ligera deformación del follaje, seguido posteriormente por enanismo. Datura stramonium, Nicotiana glutinosa y N. tabacum 'White Burley' exhibieron aclaramiento de venas, moteado formado por puntos cloróticos difusos y leve deformación de las hojas. En los primeros intentos no se logró infectar a la papa cuando se inocularon las primeras hojas que abrieron de plantas recién germinadas, las cuales eran gruesas y de consistencia coríacea. Posteriormente, cuando la inoculación se efectuó sobre hojas tiernas de plantas de aproximadamente un mes de edad, la operación fue exitosa.

Observación de cortes ultrafinos al microscopio electrónico.

El examen de los cortes ultrafinos al microscopio electrónico reveló la presencia de alteraciones en algunas céluas jóvenes del floema, las cuales presentaban el núcleo hipertrofiado ocupando la mayor parte de la célula. En el interior de esos núcleos se observaron grandes masas redondeadas, poco compactas, que a su vez ocupaban buena parte de los mismos y que estaban constituidas por numerosas partículas parecidas a virus (Fig. 5). El diámetro de las partículas individuales mejor resueltas era del orden de unos 18 nm.

Evaluación de pérdidas.

En el Cuadro 3 se presentan los resultados de una prueba para comparar el rendimiento de 24 plantas de papa 'Sebago', infectadas con el MAP, y de igual número de plantas de la misma variedad cosechadas en dos siembras comerciales en los valles de Aragua. Las plantas enfermas acusaron una reducción del 34,4% en el número de tubérculos producidos y del 32,5% en el peso de los mismos.

 

CUADRO 3. Comparación del rendimiento entre plantas de papa 'Sebago' sin síntomas e infectadas con el mosaico amarillo, cosechadas en dos siembras comerciales en los valles de Aragua.

Infectadas

Sin síntomas

Pérdidas (%)


No. tubérculos comerciales/24 plantas

80

122

34,4

Peso de tubérculos comerciales (Kg)/24 plantas

8,07

11,957

32,5


En otra prueba se sembraron 10 tubérculos de papa 'Sebago' cosechados de plantas infectadas con el MAP y en una hilera contigua igual número de tubérculos de la misma variedad, pero de semilla certificada. Los resultados de esta prueba, presentados en el Cuadro 4 revelan que las plantas enfermas que nacieron a partir de los tubérculos infectados produjeron 53,2% menos tubérculos y el peso de los mismos fue 69,9% menor en comparación con la producción de plantas sanas provenientes de semilla certificada.

 

CUADRO 4. Resultados de un ensayo montado en Samán de Güere, Edo. Aragua, para comparar el número y el peso de los tubérculos producidos por plantas de papa 'Sebago' sin síntomas, sembradas a partir de semilla certificada, y por plantas enfermas con el mosaico amarillo, sembradas a partir de tubérculos infectados.

Infectadas

Sin síntomas

Pérdidas (%)


No. tubérculos comerciales/10 plantas

22

47

53,2

Peso tubérculos comerciales (Kg))/10 plantas

1,057

3,513

69,9


DISCUSION

Los resultados de esta investigación indican que el VMAT es el agente causal de la enfermedad de la papa bajo estudio (MAP), caracterizada por síntomas foliares de mosaico amarillo y deformación, además de enanismo de las plantas afectadas. Este fenómeno ocurre con baja incidencia en siembras de este tubérculo en los valles de Aragua, en donde se ha venido observando a través de muchos años. El VMAT es un geminivirus endémico de la zona, pero hasta el presente solo había sido detectado en siembras de tomate, en las cuales usualmente alcanza una difusión muy alto.

La indicación de que el VMAT es el causante de la enfermedad de la papa se fundamenta en diversas evidencias: el MAP se logró transmitir mecánicamente a varios huéspedes del VMAT en los cuales indujo síntomas similares a los causados por este último, el cual es uno de los pocas geminivirus transmisibles por vía mecánica. Además, ambos fenómenos tienen un vector común, la mosca blanca B. tabaci.

Por otra parte, en cortes ultrafinos de tejido infectado con el MAP, se observó al microscopio electrónico la presencia de grandes masas redondeadas, poco compactas, formadas por numerosas partículas parecidas a virus dentro del núcleo de algunas células del floema. Estas alteraciones citopatológIcas son semejantes a las señaladas para otros geminivirus, entre ellos el VMAT (6).

Resultados de contajes de plantas de papa con los síntomas de la enfermedad, realizados durante un lapso de dos años en 10 fincas localizadas en los valles de Aragua, revelan que su incidencia era muy baja, del 0,46%, lo que a su vez confirma observaciones anteriores realizadas a través de muchos años. La baja incidencia de la virosis en siembras de papa contrasta con la elevada frecuencia con que se presenta en cultivos de tomate en la misma zona, e incluso en parcelas contiguas. En tomate la infección puede alcanzar niveles cercanos al 100% (5). Tan marcada diferencia pudiera atribuirse a la baja eficiencia de transmisión de la enfermedad a papa por el vector B. tabaci la cual fue del 6,6%, en cambio, la eficiencia de transmisión a tomate fue del 40%.

En atención a la baja incidencia del MAP en siembras de papa, actualmente la enfermedad parece carecía de importancia en este cultivo en los valles de Aragua. No obstante, es capa zde reducir considerablemente el rendimiento de las plantas afectadas, hasta en un 70%, lo cual implica que potencialmente pudiera tornarse económicamente importante si por alguna circunstancia aumentase su difusión.

En todo caso, como forma de control es conveniente erradicar las plantas enfermas en las siembras de papa destinadas a la producción de semilla, debido a que la virosis se transmite por esa vía. Además, la erradicación de las malezas hospederas del virus dentro y en los alrededores de las siembras de papa y tomate, es otra medida de combate que conviene poner en práctica. Hasta ahora solo se ha detectado una maleza que sirve de fuente del virus, l esculentum var. Cerasiforme, pero se sospecha que puede haber otras que cumplen esa función en virtud del carácter endémico de la virosis en la zona y de la alto incidencia que alcanza en siembras de tomate.

Hasta tanto se ha podido conocer, éste constituye el primer reporte inequívoco de un geminivirus transmitido por moscas blancas atacando a la papa en el campo. El geminivirus punta crespa de la remolacha azucarera también ataca a la papa, pero es transmitido por un saltahojas (3). Recientemente se ha publicado información preliminar sobre un virus ­ denominado encrespamiento y necrosis apical de la papa o también de las solanaceas (4, 8). que posiblemente tiene afinidad con el grupo de los geminivirus; posee particulas agrupadas en trimeros, pero se desconoce su vector

Parece lógico que hasta el presente no hubiese información sobre infección natural de la papa por geminvirus transmitidos por moscas blancas, en virtud de que estos patógenos se encuentran preferentemente en áreas tropicales, en tanto que la papa se cultiva predominantemente en zonas templadas. En la medida que este cultivo se difunda a los trópicos no sería de extrañar que fuese afectado por geminivirus endémicos en esas áreas. De hecho, se considera que las enfermedades pueden constituir el principal obstáculo para el desarrollo del cultivo de la papa en los trópicos cálidos y húmedos (8).

AGRADECIMIENTO

Se agradece a los doctores R. Lastra y F. Gil, del Centro de Microbiología y Biología Celular, Instituto Venezolano de Investigaciones Científicas, por su valiosa colaboración en el procesamiento de muestras y su examen al microscopio electrónico.

RESUMEN

La presencia de plantas de papa mostrando mosaico dorado, deformación y enanismo se ha venido observando por muchos años en siembras en los valles de Aragua, ubicados en la zona tropical cálida de Venezuela. Reconocimientos realizados en 10 fincas revelaron muy baja incidencia de la enfermedad (0,46%), afectando a las variedades 'Kennenbec' y 'Sebago'. Los resultados de este trabajo indican que el agente causal es el virus mosaico amarillo del tomate (VMAT), un geminhirus muy difundido en siembras de tomate en la misma región. La enfermedad se transmitió por injerto, mecánicamente y mediante la mosca blanca Bemisia tabaci a papa y a diversos huéspedes del VMAT, en los cuales indujo los síntomas típicos de ese virus. También se transmitió a través de tubérculos infectados de la variedad 'Sebago'. Se determinó que Lycopersicon esculentum var. Cerasiforme, una maleza común en Venezuela, es hospedera natural del virus, el cual también se encontró infectando a l. pimpinellifolium en siembras experimentales. En evaluaciones de campo usando la variedad 'Sebago', la virosis provocó pérdidas de hasta 70%, lo que sugiere que es potencialmente importante, a pesar de su baja incidencia. En cortes ultrafinos de tejido de papa infectado, se observaron al microscopio electrónico grandes masas constituidas por numerosas partículas parecidas a virus cuyo diámetro era de aproximadamente 18 um. Dichas masas se encontraron dentro del núcleo de algunas células del floema y se asemejan a los agregados vírales reportados para el VMAT y otros geminivirus. Hasta donde se ha podido conocer, éste constituye el primer señalamiento de un geminivirus transmitido por moscas blancas atacando a papa en el campo.

SUMMARY

The presence of occasional plants showing golden mosaic, distortion, and stunting, has been observed throughout many years in potato crops grown in the Aragua valleys, located in the hot tropical zone of Venezuela. Surveys in 10 farms revealed a very low incidence of the disease (0.46%), affecting 'Kennenbec' and 'Sebago' varieties. Results of this work indicate that the causal agent is tomato yellow mosaic virus (TYMV), a geminivirus widespread in tomato crops grown in the same area. The disease was transmitted by grafting, mechanically, and by the whitefly Bemisia tabaci to potatoes and to several host of TYMV, in which it induced symptoms typical of that virus. It was also trasmitted through infected 'Sebago' potato tubers. Lycopersicon esculentum var. Cerasiforme, a common weed in Venezuela, was found to be a natural host of the virus, which was also detected infecting l. pimpinellifolium in experimental plantatings. Field evaluations demonstrated that in 'Sebago' potatoes the disease caused losses up to 70%, which suggests that it is potentially important, in spite of its low incidence. In ultrathin sections of diseased potato tissue, large masses of viruslike particles about 18 ,um diameter were observed under the electron microscope in the nucleus of some phloem cells. These masses resembled viral aggregates reported previously for TYMV and other geminiviruses. As far as known, this constitutes the first report of a whitefly­transmitted geminvirus infecting potatoes in the field.

BIBLIOGRAFIA

DEBROT C., E., F. HEROLD y F. DAO. Nota preliminar sobre un mosaico amarillento del tomate en Venezuela. Agronomía Tropical 13:33­41. 1963.

DEBROT, E.A. Natural infection of potatoes in Venezuela with the whiteflytransmitted mosaic amarillo del tomato virus. Abstracts of papers given at the International Workshop on Pathogens Transmitted by Whiteflies. p. 59. Oxford, England. July 31, 1981.

GOODMAN, RM. Geminiviruses. In: E. Kurstak (ed). Handbook of Plant Virus Infections and Comparathe Diagnosis. Amsterdam. Elsevier/North Holland. p. 879­910. 1981.

HOOKER, WJ. and L.F. SALAZAR. A new plant virus from the high jungle of the Eastern Andes; Solanum apical leaf curling virus (SALCV). Ann. Appl. Biol. 103:449­454. 1983.

LASTRA, J.R. and R.C. DE UZCATEGUI. Viruses affecting tomatoes in Venezuela. Phytopathology 68:985­988. 1978.

LASTRA, R. and F. GIL. Ultrastructural host cell changes associated with tomato yellow mosaic. Phytopathology 71:524528.1981.

SALAZAR, L.F. Manual de enfermedades virosas de la papa. Lima, Perú. Centro International de la Papa. 111 p. 1982.

THURSTON, H.D. International potato disease research for developing countries. Plant Disease 64:252­257. 1980.

UZCATEGUI, R.C. DE and R. LASTRA. Transmission and physical properties of the causal agent of mosaico amarillo del tomate (tomato yellow mosaic). Phytopathology 68:985 988. 1978.


^

Agronomía Tropical  > Colección  >  Sumario Volumen 35 Articulo